November is COPD Awareness Month, so in light of this we present our articles discussing COPD and related topics, such as atrial fibrillation, Crohn’s disease, chronic kidney disease, depression, asthma, and ulcerative colitis. Although chronic obstructive pulmonary disease mainly affects the lungs, there are many other conditions associated with COPD. For example, COPD raises the risk of cardiac death in atrial fibrillation patients, while Crohn’s disease and colitis patients have higher incidences of COPD.
COPD raises cardiac death risk in patients with atrial fibrillation
There are close to 24 million people in the United States suffering from COPD, or chronic obstructive pulmonary disorder, and now experts believe this lung disease increases the risk of cardiac death in those with atrial fibrillation.
Advertisement
Research conducted through Ghent University Hospital in Belgium indicates that COPD is linked to cardiac issues, such as atrial fibrillation. Atrial fibrillation means an irregular heartbeat and can lead to sudden cardiac death.
The study in Belgium included 13,000 people, of which close to 2,000 were diagnosed with COPD. Continue reading…
Crohn’s disease, ulcerative colitis incidences much higher in asthma and COPD patients: Study
Crohn’s disease and ulcerative colitis incidences are much higher in asthma and COPD patients, according to research. Lead author Paul Brassard said, “These findings have important implications for the early detection of [inflammatory bowel diseases (IBD)] in airway disease patients. Although a link has previously been suggested, this is the first study to find significantly increased rates of [IBD] incidence in people with asthma and COPD. If we can confirm a link between the two conditions it will help diagnose and treat people sooner, reducing their symptoms and improving their quality of life.”
The researchers compared incidences of Crohn’s disease and ulcerative colitis in patients with asthma and COPD with the general population using a database from Quebec, Canada, between 2001 and 2006. Continue reading…
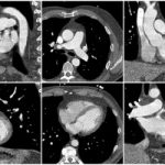
High chronic kidney disease and COPD risk signaled by high coronary calcium score
High risk of chronic kidney disease (CKD) and COPD is signaled by a high coronary calcium score. A study, conducted by Johns Hopkins researchers, examined over 6,000 individuals and followed them up at least once a year over a 10-year period.
These individuals underwent a heart CT scan, which found that a high coronary artery calcium score puts people at a higher risk for heart and vascular disease, as well as cancer, chronic kidney disease, and chronic obstructive pulmonary disease (COPD). Continue reading…
COPD (chronic obstructive pulmonary disease) and its association with depression: New studies
COPD (chronic obstructive pulmonary disease) is associated with depression, and a recent study has explained this link. COPD affects 24 million Americans, and although discussions have been taking place regarding a potential connection between COPD and depression, there was limited research done on the topic. In a new study, researchers found that one in four COPD patients suffer from depressive symptoms, and if left untreated, this could have a negative impact on a person’s health.
One study looked at three-year data from COPD patients. The study found that one in four COPD patients suffer from depressive symptoms. Patients with new or persistent depression experience more exacerbations of COPD and greater performance loss. Continue reading…
COPD risk in later life increased with childhood asthma
Advertisement
Childhood asthma is associated with a higher risk of chronic obstructive pulmonary disease (COPD) later on in life. The researchers found those with the weakest lung function are at the highest risk for COPD. Researcher Michael McGeachie said, “Study participants were children with mild-to-moderate persistent asthma, which places them among the most severe 30 or 40 percent of all childhood asthmatics. Among this group, serious airway obstruction is an early life possibility.”
“There may be interventions that can help mitigate these risks, although we do not specifically identify any,” McGeachie added.
For the study, the researchers followed nearly 700 children up until the age of 23. Children were randomly assigned to either receive 200 micrograms of budesonide twice a day, eight milligrams of nedocromil twice a day, or a placebo. The children were also given a rescue medication for asthma flares. Continue reading…
