Scoliosis in adults is an abnormal spine curvature, also known as degenerative scoliosis. Degenerative scoliosis is the gradual deterioration of the facet joints, similarly seen in osteoarthritis of the spine. The main difference between degenerative scoliosis and osteoarthritis of the spine is that pressure from the deteriorating facet joints in degenerative scoliosis causes the spine to curve off to one side.
There are two main categories of adult scoliosis: adult idiopathic scoliosis and adult “De Novo” or degenerative scoliosis. In adult idiopathic scoliosis, the patient developed scoliosis as a child or adolescent, but because there is no known cause for scoliosis, it is idiopathic. “De Novo” or degenerative scoliosis is the degeneration of the facet joints, where a person can lose height as the spine curves to one side.
Advertisement
Studies regarding adult scoliosis have shown a prevalence as high as 68 percent among seniors, and the risk factors are directly associated with disability.
Symptoms of degenerative adult scoliosis
Aside from a curved spine, symptoms of scoliosis include:
- One shoulder being higher than the other
- One shoulder blade may stick out further and be higher than the other
- Deformities are noticeable when a person is bent over
- Hump on the back due to the chest twisting
- One arm hangs lower than the other
- Back pain that worsens as the condition worsens
Other complications related to adult scoliosis are weakness, numbness and lower extremity pain due to pressure on the spine, and heart and lung complications due to deformities of the chest.
Causes of adult scoliosis
There are numerous types of adult scoliosis, all of which fit into the two main categories. The type of scoliosis will determine the cause.
Idiopathic curve: Cause is unknown.
Congenital curve: A person is born with this type, which includes problems with growth and development that contribute to scoliosis. Although this type of scoliosis may not be severe in childhood, it can worsen in adulthood.
Paralytic curve: In this type of scoliosis the muscle don’t work around the spine, so the spine is thrown off balance. This type is mainly caused by injury and can lead to paralysis.
Secondary: If scoliosis develops in adulthood and was not present in adolescence, it is known as secondary. Causes of secondary scoliosis are degeneration, osteomalacia (softening of the bones), osteoporosis and other conditions that can affect the vertebrae.
Exercises and natural treatment for adult scoliosis
Exercise is a great form of treatment when dealing with scoliosis as our spine is like a tree trunk; it holds us up and keeps us supported. Exercise works to support the spine, keeps our core strong and increases mobility, even if there are issues with the spine. Here are some exercises that can help benefit adult scoliosis.
Rebalancing stretches: Stretching is an important aspect of exercise and in the case of scoliosis, where the body is imbalanced, stretching can promote balance by targeting areas of the body that may not be used or overused to ease tension.
Rebalancing stretches involve first moving in the direction of the bend, stretching at that angle as far as possible and then moving in the opposite way to counter the stretch. For example, if your spine curves to the right you may first hold a stretch in the right direction and counter this by stretching to the left and holding the position.
Step down and one arm reach: With the leg that appears longer, step on a step or box. Lower the opposite leg down to the floor while bending the knee of the leg on the step. While moving down raise one arm up (the arm on the side you are lowering). Repeat this up-down motion a few times.
Up and down dog: Begin in a high plank position and move your weight behind you with your head facing down so you can see through your legs. Your bottom should be in the air and you should almost look like a triangle. Swoop back down to high plank by lowering your hips low to the floor and your chest should be pressed out. Alternate between the down position and the up position a few times.
Split stance with arm reach: Step forward into a lunge position or exaggerated stride – torso should be upright and straight. Push forward and backward from a lunge position (with a bent knee) to an upright position (with two straight legs). While shifting your weight, raise your arm that is opposite to the forward leg.
Advertisement
For other exercises to help support scoliosis, speak with your doctor or physiotherapist, and always ensure the exercises are deemed safe for your health level to prevent injury.
Treatment for scoliosis in adults
There are many different treatment options when it comes to scoliosis, from medical to lifestyle treatments. Treatments for adult scoliosis include:
Painkiller medications- Corticosteroid injections
- Medications to support osteoporosis, if that is the underlying cause
- Exercising
- Wearing a brace – although uncommon, they may relieve symptoms
- Decompression surgery by removing discs or bones that are pressing on nerves
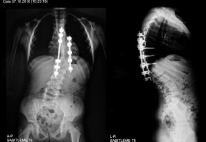
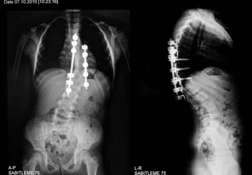
- Spinal fusion surgery where metal rods improve the spine
Surgery can be a risky form of treatment and involve a lengthy recovery period. Complications related to surgery include failure to reduce pain, implants becoming displaced or broken, infection, blood clots and nerve damage – although rare. Always speak to your doctor about the risk of surgery; each case of scoliosis is different and poses its own risks.
