
June is National Scoliosis Awareness Month so we have included topics discussing spinal stenosis, ankylosing spondylitis, low back pain, and spinal muscular strophy. Scoliosis is a curvature in the spine which typically can occur during puberty. Common treatment for scoliosis is wearing a brace for several hours throughout the day but if the curvature is greater than 45 degrees than surgery may be required.
The compiled editorials will help you gain a greater awareness about scoliosis along with related spinal conditions.
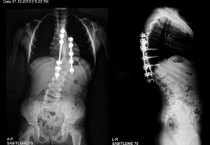
Scoliosis, an abnormal spine curvature in adolescence, may also affect older adults
Scoliosis in adults is an abnormal spine curvature, also known as degenerative scoliosis. Degenerative scoliosis is the gradual deterioration of the facet joints, similarly seen in osteoarthritis of the spine. The main difference between degenerative scoliosis and osteoarthritis of the spine is that pressure from the deteriorating facet joints in degenerative scoliosis causes the spine to curve off to one side.
There are two main categories of adult scoliosis: adult idiopathic scoliosis and adult “De Novo” or degenerative scoliosis. In adult idiopathic scoliosis, the patient developed scoliosis as a child or adolescent, but because there is no known cause for scoliosis, it is idiopathic. “De Novo” or degenerative scoliosis is the degeneration of the facet joints, where a person can lose height as the spine curves to one side.
Studies regarding adult scoliosis have shown a prevalence as high as 68 percent among seniors, and the risk factors are directly associated with disability. Continue reading…
Spinal stenosis causes, symptoms, natural treatment, and exercises
Spinal stenosis is a spinal condition characterized by the narrowing of the open spaces within the spine. This narrowing causes pressure on the spinal cord and nerves which can travel to the arms and legs. Spinal stenosis is most common in the lower back and the neck.
Spinal stenosis can often be symptomless, but for many people symptoms can vary from pain and tingling to even problems with the bowel and bladder. We will explain signs and symptoms of spinal stenosis in more detail later on.
Spinal stenosis is most often caused by wear and tear, as well as changes to the spine from osteoarthritis, but there are many other causes, which can contribute to this ailment as well. Continue reading…
Ankylosing spondylitis treatment guidelines, diet, and exercise tips
Ankylosing spondylitis (AS) can be improved with a healthy body weight and exercise. Ankylosing spondylitis is a type of inflammatory arthritis that mainly affects the spine and can lead to pain, fatigue, and stiffness. But research has shown regular exercise can help improve it.
The American College of Rheumatology (ACR) outlined recommendations for patients with ankylosing spondylitis. Principal investigator Michael Ward said, “The ACR’s primary objective was to provide recommendations on optimal treatment for patients with AS and non-radiographic axial SpA [spondyloarthritis] that were based on quality evidence and took into consideration patient values and preferences. While the guideline does not cover all aspects of spondyloarthritis management, it provides a foundation based on the current best-available evidence.”
The guidelines not only discuss the broad spectrum of ankylosing spondylitis treatments. The investigators also included the Grading of Recommendations Assessment, Development, and Evaluation approach (called GRADE), which specifications for different patient groups, interventions, competing treatment alternatives and outcomes, grading the quality of evidence used, and basing recommendations on benefits and harm.
Recommendations are placed into one of five categories: recommendations for the treatment of patients with active AS (pharmacologic and rehabilitation), recommendations for the treatment of patients with stable AS (pharmacologic and rehabilitation), recommendations for the treatment of patients with either active or stable AS, recommendations for the treatment of patients with AS and specific impairments or comorbidities (such as advanced hip arthritis, severe kyphosis, acute iritis, and inflammatory bowel disease), education and preventive care recommendations; and recommendations for the treatment of patients with non-radiographic axial SpA. Continue reading…
For low back pain, early physical therapy shows modest pain relief benefit
Early physical therapy has shown to produce modest pain relief for those with low back pain. Considering that ten percent of people experience low back pain at some point in their lives, the option of physical therapy may ease a lot of frustration.
A team of researchers at the University of Utah in Salt Lake City assigned over 200 patients, with the recent onset of low back pain, to early physical therapy. Just over half went through immediate exercise sessions and back manipulation, while the rest did not receive any intervention for the first four weeks. All the back pain sufferers received back pain education. Those who experienced the early physical therapy showed moderate improvement compared to those who went through usual care or care that was not immediate. The differences between the two groups one year later were modest.
The researchers reported that all the patients with low back pain experienced some improvement when they exercised, but a modest difference was definitely detected when early physical therapy was applied. This is not surprising when you consider that the chances of recovery for many health ailments are higher when treatment is issued early. Cancer and heart disease are just two examples. When it comes to those who suffer from chronic low back pain, it seems that regular physical therapy can make life more tolerable. Continue reading…
Spinal muscular atrophy cause uncovered by stem cell research
The cause of spinal muscular atrophy, a condition that leads to muscle weakness, has been uncovered by stem cell research. The findings come from researchers at the Advanced Gene and Cell Therapy Lab at Royal Holloway.
The researchers used stem cell techniques to get a better understanding as to why some cells are at a higher risk of degenerating in spinal muscular atrophy than others.
The researchers used Induced Pluripotent Stem Cells (iPSCs), which were reprogrammed and coerced into forming motor neurons that are found in the spine to help control movement and breathing.
During the differentiation stage when the stem cells change into their final shape, two key proteins in motor neurons change in a significant way, which could help explain why these cells are more vulnerable to spinal muscular atrophy degeneration than others.
Dr. Rafael Yáñez said, “We have observed a progressive reduction of SMN and PLS3 proteins during differentiation of induced pluripotent stem cells to motor neurons, similar to some reports in animals and some controversial data from human development. These changes may underpin the susceptibility of motor neurons to spinal muscular atrophy. We now will investigate the reason for the changes, and more importantly, progress our research for novel therapies taking these protein changes into account. The research also shows how we are trying to reduce reliance on animal experiments whenever possible, as these stem cells now allow the production of human cells that cannot be obtained directly from patients and we can study the cells in lab dishes.” Continue reading…